Os mini-implantes ou mini-parafusos, ou DATs (Dispositivo de Ancoragem Temporária) são usados como ancoragem em ortodontia, para suportar uma força maior que se terá que fazer em um tratamento, pois eles não se movem do lugar onde foram fixados.
Por exemplo, auxiliar a fechar o espaço de uma extração de pré molares, levando os dentes para trás, e dessa forma evitando que os de trás venham para frente... Ou seja, colaborando com a força necessária para determinado movimento. Entendido?
Isso também significa que o tratamento pode andar mais rápido.
Quem decide se colocará ou não o mini-implante é o seu ortodontista. Que também decidirá o melhor lugar para que o parafuso seja instalado, estudando as radiografias.
A colocação desse dispositivo irá gerar custos, é claro. Isso dependerá do dentista, da cidade, da clínica onde você faz o tratamento. Resolvido o movimento para o qual o parafuso foi instalado, ele pode ser removido. É colocado pelo ortodontista, com anestesia local e é facilmente removido.
Deve ter uma higiene muito boa na gengiva em volta do micro-implante, para que não haja inflamações e sangramentos.
terça-feira, 23 de fevereiro de 2016
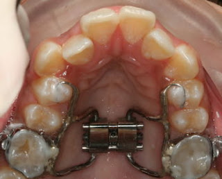
Posso usar Hyrax e aparelho fixo ao mesmo tempo?
O aparelho Hyrax é geralmente indicado quando a arcada superior é bem atrésica (estreita). Com esse aparelho se consegue a expansão da arcada dentária superior. Se for paciente ainda em fase de crescimento consegue-se a disjunção da sutura palatina mediana (separação) e com isso há o ganho de espaço e descruzamento das mordidas cruzadas posteriores. Se for paciente já adulto, consegue-se descruzar a mordida cruzada posterior às custas de inclinações dentárias.
Aparece um espacinho (diastema) entre os incisivos centrais superiores?
Sim, principalmente se houver disjunção da sutura palatina mediana ( nos pacientes mais jovens).
Aparece um espacinho (diastema) entre os incisivos centrais superiores?
Sim, principalmente se houver disjunção da sutura palatina mediana ( nos pacientes mais jovens).
Posso usar aparelhos fixos enquanto estiver com Hyrax ou tenho que retirar esse aparelho primeiro?
Sim, pode. Mas só depois que passar o período de ativação e entrar na fase de contenção. Há controvérsias entre alguns ortodontistas, sendo que alguns acham melhor esperar os 3 - 4 meses de contenção para só então depois colocar o aparelho ortodôntico fixo. De qualquer modo, quem terá que dar a palavra final é o seu dentista, ok?
Assinar:
Comentários (Atom)


